I honestly cannot recommend Dr Ammar Hourani highly enough and the whole team at Alexandra Dental practice! My father was in pain and there wasn’t much of a tooth left, thought he was going to lose it. Dr Hourani was patient and took the time to explain everything step by step. My father had root canal treatment, had his tooth restored and is now completely pain free. I am so relieved! This process was super easy. Thank you so much!
I had a great experience at this dental practice. All staff I encountered were welcoming, supportive and reassuring. I went for an emergency procedure and then had to return due to complications. On both visits I experienced top quality care and was made to feel at ease. Would highly recommend! Particular thanks to the dentist who treated me, Sarah Savage and the dental nurse, Sharon Taylor-such great care!
Outstanding service at Alexandra Dental!Alexandra Dental provided an excellent experience from start to finish. The team was professional, friendly, and completely transparent about every step of my treatment. I really appreciated how clearly they explained my options and made me feel comfortable throughout. The care and attention to detail were exceptional — I couldn’t be happier with the results. Highly recommend for anyone looking for a trustworthy and professional dental practice!
NHS 111 arranged an emergency extraction for me at the Alexandra Dental Practice.Everyone at the practice were so efficient and friendly, this really helped as I am a very nervous patient!I was in and out within 45mins.I would highly recommend them.
I cannot recommend Dr Ammar Al-Hourani highly enough. I have have had three separate root canal treatments with Dr Al-Hourani, all of which were pain free. He is highly skilled, professional and extremely kind.
I’ve had a tooth extraction and recently a root canal with two different dentists and genuinely had such a great experience both times. The staff are very friendly and welcoming which calms your nerves! The root canal experience was done by Dr. Ammar and was exactly what I hoped for, I didn’t feel any pain during the procedure, it took roughly 60 minutes and I felt looked after. The assistant checked in with me a few times to make sure I was doing okay. Booked in for a review in a few weeks to check on my healing. My tooth extraction with Dr. Sarah was a similar experience too, I felt calm and looked after. No pain and healed quickly! I would highly recommend this dentists services. I hadn’t been to the dentist in 10 years due to costs and being at uni it was difficult for me, so I was an anxious patient but genuinely nothing to worry about!
I can’t stress enough how at ease I was made to feel. I was booked in for 2 root canal treatments and was very nervous but there was absolutely no need. I really didn’t feel a thing and was made to feel very relaxed. If your worried about treatment, there really is no need to be, they are so good and explain everything.
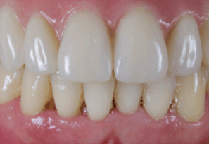
Excellent service from start to finish, from booking, to the appointment and the aftercare.A previous root canal had left my tooth darkened and dull and I felt self conscious about my smile.Dr Ammar Al Hourani explained how he could tidy up the original root canal and how the treatment would also improve the appearance.The difference is instantly noticeable and I couldn’t be happier.No one chooses to have a root canal if they can help it, but I felt so at ease I nearly fell asleep during the appointment. The contrast between this experience and my first root canal is like night and day.I now understand the importance of seeing a specialist and feel very lucky Dr Al Hourani was able to accommodate me and provide such a thorough and comprehensive consultation.Nurse Laura put me at ease straight away and she and Dr Al Hourani seemed completely in sync. It was as if she knew what was needed before he even asked.Donna made the booking process seamless and was almost instant with her replies.Thank you Alexandra Dental, I’m genuinely impressed.
I want to share my opinion about the extraordinary professionalism of Dr. Sarah Savage. She found an approach to me from the first minutes of communication, helped solve my problem with my tooth, and thanks to her support, I avoided stress. I highly recommend contacting this doctor.
Next level amazing!! I’m not the best with the dentist & hygienist and always dread going to be honest. This practise however is completely different to anywhere I’ve been before, everyone is super friendly and more importantly the appointment is tailored to your needs and limits!! Don’t get me wrong, I’m never going to enjoy going every 6 months and it certainly won’t be the highlight of my week…. however I can safely say I will no longer dread going or feel anxious the night before. Anyone feeling nervous or worried give these guys a go, you won’t regret it and your more than likely walk out wondering why you didn’t go sooner.
Dr. Shah, his dental nurses and the admin staff at Alexandra Dental are amazing! Dr. Shah has given my son, Connor, his smile and confidence back with Invisalign and then composite bonding. To see Connor smile again and show his teeth is so heartwarming and words cannot express how happy he is. Thank you Dr. Shah and everyone that we have had the pleasure of dealing with at Alexandra Dental! If I could give 10 stars, I would.
Dr. Ammar was highly recommended by my own dentist to carry out a difficult root canal treatment and I couldn’t be happier with the whole experience.I’m quite anxious when it comes to dentist visits and needles but felt really comfortable and relaxed with Dr. Ammar and Laura. The procedure was so smooth, and Dr. Ammar’s confidence in successfully completing the treatment genuinely helped to alleviate the majority of my anxiety. And it wrapped up faster than expected which was a plus!Thank you for putting me at ease and saving my tooth!
Reception staff very helpful and polite. Meera is the best dentist I have ever had. Even though I am nervous, she puts me at ease by giving me a warm welcome and talking to me throughout my visit.
Having needed a specialist for a re-root canal Ammar Al-Hourani was able to see me and arrange quick & professional treatment. I felt relaxed and at ease through out the procedure and it was quicker than expected, I highly recommend. Great service, very happy!
Having a root canal is not my favourite passtime activity. However, Dr Ammar is an amazing Endodontist and together with his assistant they helped me relax during the treatment. I could not have asked for a better place to have this procedure completed. Alexandra Dental Centre has a team of professional and likeable people from when you enter the reception to your experience in the chair and leaving feeling so much better because your teeth have been handle in a safe, caring way. Thank you Dr Ammar Al-Hourani and also thank you to my regular dentist Dr Shilan Shah, and the whole team at the centre. Honestly, Alexandra Dental Cosmetic & Implant Centre comes highly recommended!
I went to Alexandra to replace my veneers that had been fitted 10 years ago by another practice. Dr Shah, the dental nurses and reception team were extremely accommodating and made the process really easy. My veneers today look better than ever and super natural! Overall, it was a super positive experience and I can not recommend them enough.
Was seen after 111 made an emergency appointment for me, everyone was lovely and was made to feel at ease while having my treatment done. Very lovely practice and a very lovely dentist and nurse. I believe I was seen by Dr Shah. Thank you for your service :)
Just had a consultation to fix my teeth with Tniya and honestly she is absolutely lovely!! Tniya is very knowledgeable and explained everything in detail with care and understanding to support my needs/teeth journey!! I am so excited 😆 I felt comfortable and confident talking to Tniya and she has given me a treatment plan and I am going ahead with the recommendation of which she suggested!! Amazing service from online enquiry to treatment plan!! Honestly don’t hesitate go book an appointment with Miss Tniya !The practice itself is very modern , clean and is of high spec and it’s just wonderful. Everybody i saw today was welcoming and friendly and all have wonderful teeth and smiles 😁 Thank you guys and dolls 🌟🌟🌟🌟🌟🌟🌟
I needed to have some very old crowns replaced and the root canal treatment repeated. My excellent usual dentist (Sarah Savage) referred me to Ammar Al-Hourani, who is an Endodontist.He explained everything very clearly to me, and answered my many questions. He completely put me at ease. I had two sessions booked (one for each tooth) for 2 hours each. The way he and his specialist dental assistant work so well together meant both appointments actually were only just over 1 hour. They work together like a very well-oiled machine.Ammar is very calm, which must be good for nervous patients (I am not, but still appreciated it!) and so skilled it’s amazing! He’s incredibly talented and very well qualified. I would recommend him to anyone, especially nervous patients as he just makes you feel relaxed and you feel you are in very safe hands.
I have been working with Raoul and Megan over the last year for my Invisalign and composite bonding and I am so pleased with the results. My teeth have transformed beyond my expectations. Raoul has been so helpful and done an amazing job. Thank you
I have been a patient at practice for years. Through that time i have seen Sarah who is quietly competent and thorough. I recently developed tooth pain and Sarah diagnosed it as problem with a root canal i had many years ago. i was helped by staff to book an appointment with a specialist within the practice. I was seen by Ammar and put at ease and explained the risks of the procedure and whether i wanted to book to have it done. I did and had the appointment two weeks later. Ammar was excellent and re did the root canal in little over 45 minutes and checked with xray multiple times as he did it. the cost was explained to me before i want through the procedure. I gladly recommend Alexandra dental. their staff are excellent friendly and helpful.
The whole team was great and Tniya was amazing, they were all so welcoming and caring. I had fillings and a clean done prior to my invisalign consultation. The whole team is so professional, thank you all. They explained everything I asked very thoroughly and constantly reassured me as I was anxious.
I recently had a terrible toothache and visited Beehive Dental Practice in Welwyn Garden City for treatment. Unfortunately, not only did they fail to address my excruciating pain, but they also misdiagnosed the issue. They claimed the problem was with one of my premolars on the right side and insisted it needed to be extracted. After taking an X-ray, they confidently stated there was an infection beneath the tooth and told me I would need to wait a week for the extraction.Unable to bear the pain any longer, I sought a second opinion at Alexandr Dental in Hemel Hempstead, where I met Sarah Savage. With a straightforward test, she identified that the source of the pain was not the premolar but actually the very last molar, which was in a terrible state. Sarah promptly removed the molar, and I am now completely pain-free.Thank you, Sarah Savage, for your skill, professionalism, and accurate diagnosis—you truly made a difference!
I had my first appointment at Alexandra Dental Cosmetic & Implant Center.I am grateful of Sarah Savage and her Assistant for all her kind and very gentle care.I am very pleased with the result. Thank her for all her advices and recommendations.
I had a really bad build up of plaque and which I was incredibly embarrassed off. Philly & the nurse made me feel really comfortable.After one appointment she’s completely transformed my teeth and gave me some really helpful tips. I was expecting the appointment to cost more, considering everything they did.Thank you again.
I would like to send many thanks to Donna for using effective communication after a referral from my dentist and getting me an appointment promptly.Ammar and Layla gave me plenty of reassurance during my surgery. I am no longer fearful and have had a positive experience. Thank you
Have been going to Alexandra Dental for a few years now and just recently finished a course of orthodontics with them. Have had consistently good experiences, both for dental and orthodontic work, and am very pleased with the results. Would recommend.
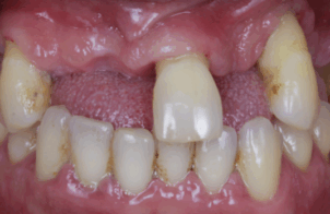
I was recommended to visit Alexandra Dental when I needed front upper bridgework replacing. Great care, sensible advice and expertise, was shown by Doctor Shilan Shah, as I was professionally measured up for the new unit using amazing modern technology. It was duly made for me and successfully fitted. My smiling confidence has been restored but I can no longer terrify the grandkids with my impressions of Dracula..
Great dental practice receptionists always pleasant , my appointments always on time. Recently visited to see hygienist holly and her assistant and always happy with the results. There is always an off street free parking space when i visit so never late for appointments.
A great dental practice our family. The practice is clean, modern and has up to date technology and equipment. The staff are all friendly.Dr Shilan Shah was warm and experienced, he made me feel comfortable quickly and rectified some problems I had with my teeth! I was fortunate enough to have Invisalign treatment at the practice - it was easy, effective and straightforward! My teeth are perfect!Couldn’t recommend Alexandra Dental Practice enough - especially for young children, I have toddlers and it’s so quick and easy with them!Thanks for much x
I have been treated by this practice for over 35 years. Mu treatment has been to the highest standards and care. When I joined I was a very nervous patient which quickly subsided thanks to their patience and encouragement. I just used their online booking system which is the easiest of all such booking systems I have used. Keep up the great work!
I have been a patient at this practice for over 25years and I do like the improvements that the new owners have made. They are always accommodating to my needs as I have autism but please bring back the TV stations as seeing videos of teeth on the TV screen only adds to my anxiety. I need a distraction while I wait for my appointment.