Menu
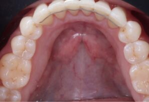
Before - Alexandra Dental

Before

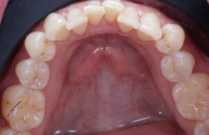
After - Alexandra Dental

After

Would you like to achieve a similar result for your smile? Call us today on: 01442 256 335

Back to Smile Gallery
Google Rating
4.6
Google Rating
Google-review